Kluczowe wnioski:
- Szpiczak jest nowotworem krwi wynikającym z nadmiernego namnażania się zmutowanych komórek plazmatycznych w szpiku kostnym.
- Choroba objawia się m.in. osłabieniem, bólami kostnymi, zwiększonym ryzykiem infekcji oraz uszkodzeniem nerek.
- Wczesne rozpoznanie i rozpoczęcie leczenia, takiego jak chemioterapia, przeszczep komórek macierzystych lub terapia celowana, ma kluczowe znaczenie dla rokowania.
- Szpiczak różni się od innych nowotworów krwi, takich jak białaczka, ze względu na typ komórek, które ulegają mutacji.
- Rokowanie w szpiczaku zależy od wielu czynników, takich jak wiek pacjenta, stopień zaawansowania choroby i odpowiedź na leczenie.
Objawy i przyczyny szpiczaka
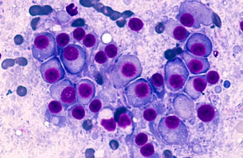
Co to jest szpiczak? To nowotwór krwi, który charakteryzuje się niekontrolowanym rozrostem zmutowanych komórek plazmatycznych w szpiku kostnym. Te zmienione komórki namnażają się w sposób nieograniczony, wypierając zdrowe komórki krwi i powodując szereg niepokojących objawów.
Jednym z pierwszych sygnałów szpiczaka jest uporczywe uczucie osłabienia i zmęczenia. Wynika ono z niedoboru czerwonych krwinek, które są wypierane przez nowotworowe komórki plazmatyczne. Innym częstym objawem są dolegliwości bólowe w okolicach kości, zwłaszcza kręgosłupa, żeber i miednicy. Ból ten jest skutkiem rozprzestrzeniania się komórek nowotworowych, które niszczą tkankę kostną.
U pacjentów ze szpiczakiem często występują również częste infekcje, gorączki, duszności oraz problemy z nerkami. Mogą się także pojawiać sińce, krwawienia z nosa lub krwawienia dziąseł. Wszystkie te objawy są związane z niedokrwistością, zaburzeniami odporności i odkładaniem się białek wytwarzanych przez komórki nowotworowe.
Przyczyny powstawania szpiczaka nie są do końca znane. Wiadomo jednak, że choroba ta wiąże się z mutacjami genetycznymi w obrębie komórek plazmatycznych, które prowadzą do ich niekontrolowanego rozrostu. Czynniki środowiskowe, takie jak narażenie na działanie substancji chemicznych, promieniowania jonizującego czy przewlekłe stany zapalne, mogą zwiększać ryzyko wystąpienia tych mutacji.
Różnice między szpiczakiem a nowotworem
Szpiczak jest szczególnym rodzajem nowotworu krwi, który różni się od innych chorób nowotworowych pod kilkoma względami. Po pierwsze, jest on związany z komórkami plazmatycznymi, które powstają z limfocytów B i produkują przeciwciała. Tymczasem inne nowotwory krwi, takie jak białaczka, dotyczą innych rodzajów krwinek.
Kolejną istotną różnicą jest przebieg choroby. Szpiczak wykazuje tendencję do wolniejszego rozwoju niż wiele innych nowotworów. W początkowej fazie, zwanej gammapatią monoklonalną o niewiadomym znaczeniu (MGUS), nie występują żadne objawy. Dopiero po latach choroba może przekształcić się w szpiczaka w pełnym wymiarze.
Inna cecha odróżniająca szpiczaka to fakt, że komórki nowotworowe gromadzą się głównie w szpiku kostnym, a nie tworzą przerzutów w innych narządach. Choć w zaawansowanym stadium choroba może uszkadzać nerki, wątrobę czy płuca, nie dochodzi do powstawania guzów litych.
- Szpiczak jest nowotworem krwi związanym z komórkami plazmatycznymi wytwarzającymi przeciwciała.
- Ma tendencję do wolniejszego rozwoju niż inne nowotwory krwi, rozpoczynając się od fazy bezobjawowej MGUS.
- Komórki nowotworowe gromadzą się głównie w szpiku kostnym, a nie tworzą przerzutów w innych narządach.
Leczenie szpiczaka i jego skutki uboczne
Leczenie szpiczaka zależy od stopnia zaawansowania choroby, wieku pacjenta oraz obecności innych schorzeń. W początkowej fazie MGUS zazwyczaj nie stosuje się żadnej terapii, a jedynie prowadzi się obserwację. Natomiast w pełnoobjawowym szpiczaku konieczne jest podjęcie leczenia.
Podstawową metodą leczenia jest chemioterapia, która ma na celu zniszczenie komórek nowotworowych. Często stosuje się też leki immunomodulujące, takie jak talidomid lub lenalidomid, które hamują wzrost nowotworu i wspomagają działanie chemioterapii. W przypadku młodszych pacjentów w dobrym stanie ogólnym wykonywane są przeszczepy komórek macierzystych krwi.
Wszystkie te metody leczenia wiążą się z szeregiem skutków ubocznych. Chemioterapia może powodować wymioty, biegunki, zapalenie jamy ustnej, osłabienie, zwiększone ryzyko infekcji oraz uszkodzenie narządów. Leki immunomodulujące mogą z kolei wywoływać zaparcia, neuropatię obwodową, niewydolność nerek, zakrzepicę oraz zwiększać ryzyko rozwoju innych nowotworów.Oprócz metod leczenia farmakologicznego, w szpiczaku stosuje się także leczenie wspomagające, które ma na celu złagodzenie objawów choroby i skutków ubocznych leczenia. Może ono obejmować przetoczenia krwi, dożylne leczenie przeciwbólowe, wapno i bisfosfoniany w celu wzmocnienia kości oraz leki przeciwwymiotne. Ważne jest również odpowiednie wsparcie żywieniowe i psychologiczne.
Czynniki ryzyka rozwoju szpiczaka
Choć dokładne przyczyny rozwoju szpiczaka nie są do końca poznane, naukowcy zidentyfikowali kilka czynników, które mogą zwiększać ryzyko zachorowania na tę chorobę. Jednym z nich jest wiek - szpiczak występuje częściej u osób starszych, zwykle powyżej 65 roku życia.
Innym istotnym czynnikiem ryzyka jest narażenie na działanie promieniowania jonizującego oraz niektórych substancji chemicznych, takich jak benzen, pestycydy czy rozpuszczalniki organiczne. Dotyczy to zwłaszcza osób pracujących w przemyśle chemicznym, rolnictwie, budownictwie oraz personelu medycznego narażonego na promieniowanie.
Podsumowanie
Co to jest szpiczak? To nowotwór krwi charakteryzujący się niekontrolowanym rozrostem zmutowanych komórek plazmatycznych w szpiku kostnym. Choroba ta powoduje szereg objawów, takich jak osłabienie, bóle kostne, częste infekcje i problemy z nerkami. Wczesne rozpoznanie i właściwe leczenie, na przykład chemioterapia lub przeszczep komórek macierzystych, mają kluczowe znaczenie dla rokowania.
Dokładne przyczyny rozwoju szpiczaka nie są znane, jednak czynnikami ryzyka są między innymi wiek, narażenie na promieniowanie jonizujące, substancje chemiczne, choroby autoimmunologiczne, otyłość i palenie papierosów. Szybka diagnoza i odpowiednia terapia mogą znacząco poprawić rokowanie pacjentów cierpiących na tę chorobę krwi.






