
Zdrowie
Co to jest szpiczak: Poddajemy analizie definicję szpiczaka
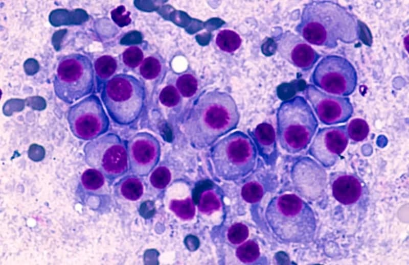
Szpiczak to nowotwór krwi polegający na niekontrolowanym namnażaniu się zmutowanych komórek plazmatycznych w szpiku kostnym. Dowiedz się, co to jest szpiczak, jakie są objawy, przyczyny i leczenie tej choroby.
•
6 sierpnia 2024